Congress Lecture

5.0The average rating is 5 stars out of 5.
Prosthodontic Planning and Procedures

Cement vs. Screw Retention

Julia-Gabriela Wittneben

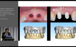
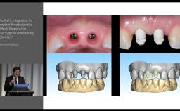
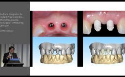
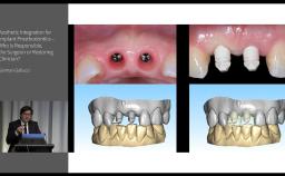
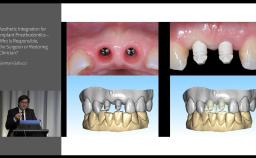
The lecture describes treatment planning for screw-retained and cemented prostheses and includes clinical cases related to each procedure. Advantages and disadvantages of screw- and cement-retained prostheses are given, including indications for each. Specific aspects of single-tooth implant prostheses, implant fixed dental prostheses (FDP), and full-arch prostheses are presented.

Dr. Wittneben also shares the results of clinical studies on the relationship of residual cement and margin position to the incidence of peri-implantitis. She outlines the research supporting the most recent ITI Consensus Statements related to screw vs. cement retention. This lecture concludes with clinical recommendations regarding the selection of a retention method.

At the end of this Congress Lecture you should be able to...

  • plan implant positioning according to the intended type of prosthesis retention
  • design prostheses for screw-retained and/or cement-retained implant situations
  • list indications for both types of retention options
Duration
30 minutes
Source
ITI World Symposium 2014
CPD/CME
0.5 hours
Purchase price
15 Academy Coins
Publication date: Apr 12, 2015 Last review date: Apr 10, 2023 Next review date: Apr 10, 2026
  • 1 - Beginner
  • Congress Lecture
  • English
  • Languages
  • Prosthodontic Planning & Procedures

ITI QR code Mvc

Share this page

Download the QR code with a link to this page and use it in your presentations or share it on social media.

Download QR code
QR code