Replacement of a Maxillary Left Second Premolar Using an Immediate Restoration Protocol - Clinical Case Report - Home
Clinical Case Report
Replacement of a Maxillary Left Second Premolar Using an Immediate Restoration Protocol
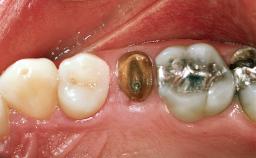
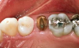
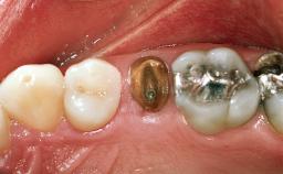
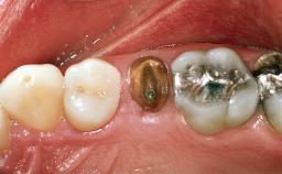
In June 2002, a healthy and cooperative 42-year-old female patient was referred for consultation and for the treatment of a fractured maxillary left second premolar. The patient reported an uncomplicated medical history, significant only for seasonal allergies. She had been in the continuous care of a general dental practitioner at the University of Florida College of Dentistry for more than ten years, her recent dental history being restricted to routine operative dentistry and periodontal maintenance. Her plaque control and gingival health was considered for the most part to be excellent, and no intraoral periodontal probing depths exceeded 3 mm. Her esthetic demands were considered moderate to high, and she displayed a high smile line. Intraoral examination revealed a Class I malocclusion, characterized by minor tooth misalignment and midline disharmony, for which orthodontic therapy was recommended and rejected. Her gingival biotype was considered medium to thick.
- Surgical SAC classification
- Advanced
- Prosthodontic SAC classification
- Advanced
- Source
- Treatment Guide 2
- Purchase price
- 10 Academy Coins
- CPD/CME
- 0.15 hours
Share this page
Download the QR code with a link to this page and use it in your presentations or share it on social media.
Download QR code