Implantatverlust mit Defektsituation: Erneute Implantation oder Alternativtherapie? - Congress Lectures - Home
Surgical Planning and Procedures
Implantatverlust mit Defektsituation: Erneute Implantation oder Alternativtherapie?
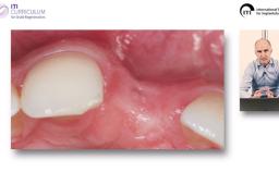
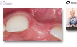
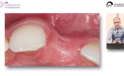
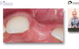
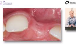
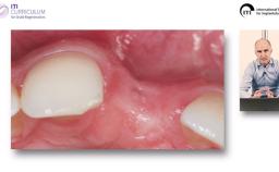
Basierend auf diversen Studien und eigener klinischer Erfahrung stellt Dieter Weingart seine Erkenntnisse und Schlussfolgerungen zum Thema Implantatverlust mit Defektbildung vor. Er illustriert das Thema mit eigenen klinischen Fällen inklusive Langzeit-follow-ups.
Nach dieser Vorlesung sollten Sie…
- die Empfehlung einer erneuten implantologischen Versorgung nach Implantatverlust mit Defektbildung diskutieren können
- Erfolgs- und Risikofaktoren einer erneuten Implantation benennen können
- Duration
- 20 minutes
- Source
- ITI Congress Germany 2018
- CPD/CME
- 0.33 hours
- Purchase price
- 10 Academy Coins
Share this page
Download the QR code with a link to this page and use it in your presentations or share it on social media.
Download QR code