Soft Tissue Augmentation before Implant Placement in an Area of High Surgical and Esthetic Risk - Clinical Case Report - Home
Clinical Case Report
Soft Tissue Augmentation before Implant Placement in an Area of High Surgical and Esthetic Risk
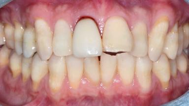
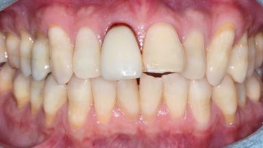
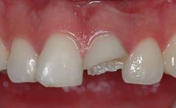
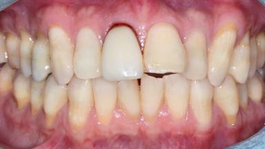
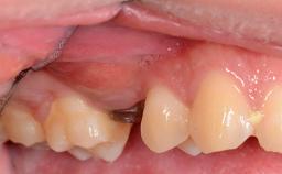
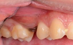
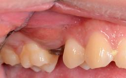
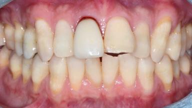
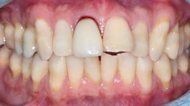
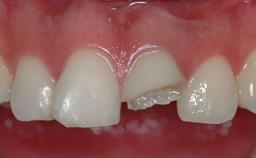
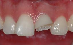
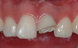
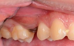
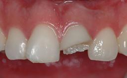
The Straightforward, Advanced and Complex (SAC) classification in implant dentistry was introduced following an International Team for Implantology (ITI) Consensus conference held in 2007 (Dawson 2009). The classification aimed to assist clinicians in evaluating the difficulty of cases, and serve as a tool for case selection and treatment planning. Individual cases can be classified into straightforward, advanced, or complex in both surgical and restorative aspects depending on their associated risk factors and complexity. The aim of this article is to illustrate how the SAC classification was used to identify a case of high surgical and esthetic risk, the steps undertaken to minimize potential complications, and its successful long-term follow-up.
- Surgical SAC classification
- Advanced
- Prosthodontic SAC classification
- Complex
- Source
- User Case
- Purchase price
- 10 Academy Coins
- CPD/CME
- 0.15 hours
Share this page
Download the QR code with a link to this page and use it in your presentations or share it on social media.
Download QR code