Replacement of Multiple Teeth in a Partially Dentate Posterior Mandible with a Fixed Dental Prosthesis Using an Early Loading Protocol - Clinical Case Report - Home
Clinical Case Report
Replacement of Multiple Teeth in a Partially Dentate Posterior Mandible with a Fixed Dental Prosthesis Using an Early Loading Protocol
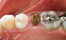
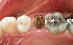
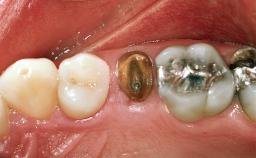
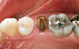
A 55-year-old female patient was referred for consultation and treatment. Her chief complaint was pain associated with the mandibular right second premolar (tooth 45). The patient denied systemic or oral diseases capable of compromising dental care. She had a history of adult periodontitis, for which she continued to be treated. Her response to therapy and motivation towards dental health were considered excellent. Intraoral examination revealed a cantilever fixed dental prosthesis in the mandibular right quadrant, with retainers on teeth 45 and 47,and pontics at sites 44 and 46.The retainer on tooth 45 was loose, and the tooth was carious. Radiographic evaluation confirmed the extent of the caries and the maintenance of bone around tooth 45 and in the pontic region 46.
- Surgical SAC classification
- Advanced
- Prosthodontic SAC classification
- Straightforward
- Source
- Treatment Guide 2
- Purchase price
- 10 Academy Coins
- CPD/CME
- 0.15 hours
Share this page
Download the QR code with a link to this page and use it in your presentations or share it on social media.
Download QR code