Reconstructive Surgical Treatment of Peri-Implantitis with Long-Term Follow-up - Clinical Case Report - Home
Clinical Case Report
Reconstructive Surgical Treatment of Peri-Implantitis with Long-Term Follow-up
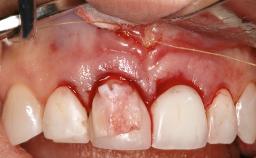
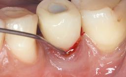
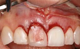
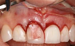
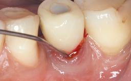
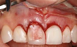
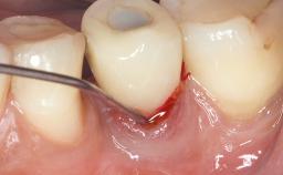
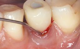
A 72-year-old female patient was referred to the specialist clinic with signs of peri-implantitis associated with implant 14. Two implants (sites 14 and 15) had been in function for three years. The patient was in good general health and was not taking any medication. She was a former smoker (12–15 cigarettes a day for 50 years) but had ceased smoking two years prior to implant placement. Her periodontal condition was stable, with no probing depths above 5 mm and a full-mouth plaque score (FMPS) of 35%.
- Surgical SAC classification
- -
- Prosthodontic SAC classification
- -
- Source
- Treatment Guide 13
- Purchase price
- 10 Academy Coins
- CPD/CME
- 0.25 hours
Share this page
Download the QR code with a link to this page and use it in your presentations or share it on social media.
Download QR code