Restoration - Hands-on exercise 2 - Congress Lectures - Home
Prosthodontic Planning and Procedures
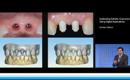
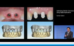
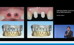
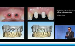
Restoration - Hands-on exercise 2
- Duration
- 0 minutes
- Source
- CPD/CME
- 0 hours
- Purchase price
- 0 Academy Coins
Share this page
Download the QR code with a link to this page and use it in your presentations or share it on social media.
Download QR code