Congress Lecture

0.0The average rating is 0 stars out of 5.
Prosthodontic Planning and Procedures

Esthetic Integration for Implant Prosthodontics – Who Is Responsible, the Surgeon or Restoring Clinician?

German Gallucci

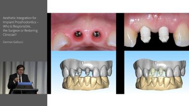
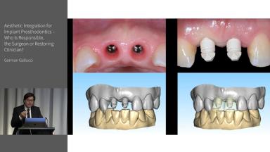
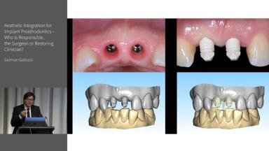
In his lecture, Dr. Gallucci addresses the critical role of interdisciplinary collaboration in implant dentistry, with a focus on the esthetic zone. He emphasizes the necessity of coordinated efforts between the surgical and restorative teams for successful outcomes in anterior zone implantation. Key topics include the precision of surgical implant placement, the importance of preserving soft tissue and contour, and the seamless transition to the prosthetic phase for effective crown loading. Dr. Gallucci also highlights the indispensability of a pre-operative restorative plan, the use of digitally guided treatment planning, and the alignment of the implant's vertical position with the planned prosthesis.

At the end of this Congress Lecture you should be able to…

  • explain the importance of collaboration between surgical and restorative teams for successful implant placement in the esthetic zone
  • elaborate on the key elements of transitioning from implant placement to the prosthetic phase, ensuring a successful crown loading and esthetic integration
  • discuss the shared responsibilities of the surgical and restorative teams and the importance of effective communication for optimal outcomes in implant dentistry

Duration
36 minutes
Source
ITI Congress Australasia 2023
CPD/CME
0.6 hours
Purchase price
18 Academy Coins
Publication date: Feb 17, 2025 Last review date: Feb 10, 2025 Next review date: Feb 10, 2028
  • 1 - Beginner
  • Congress Lecture
  • English
  • Languages
  • Prosthodontic Planning & Procedures

ITI QR code Mvc

Share this page

Download the QR code with a link to this page and use it in your presentations or share it on social media.

Download QR code
QR code