Replacement of an Upper Right Central Incisor with a Regular Neck Implant, Restored with an All-Ceramic Crown, Cemented - Clinical Case Report - Home
Clinical Case Report
Replacement of an Upper Right Central Incisor with a Regular Neck Implant, Restored with an All-Ceramic Crown, Cemented
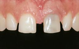
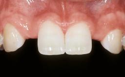
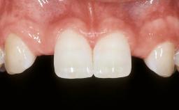
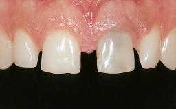
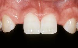
A healthy 32-year-old female patient presented for a consultation on treatment options to restore her missing central incisor 11. She reported of a recent sporting accident in which she had lost part of her tooth. The remaining tooth structure and root had been removed by a local periodontist, followed by a socket-preservation procedure. She was unaware of current treatment options to replace her missing tooth and wanted to explore the most esthetic and functional options available. A brief consultation showed that the patient was not interested in orthognathic procedures to address her maxillary overbite, nor in any alternative procedures to lower her high lip line. With her interim prosthesis in place, an evaluation of her smile highlighted several malpositioned teeth surrounding tooth 11. Comparing the maxillary canines, it was evident that tooth 13 was rotated. Comparison of the lateral incisors revealed that tooth 12 had a flared appearance.
- Surgical SAC classification
- Advanced
- Prosthodontic SAC classification
- Advanced
- Source
- Treatment Guide 1
- Purchase price
- 10 Academy Coins
- CPD/CME
- 0.15 hours
Share this page
Download the QR code with a link to this page and use it in your presentations or share it on social media.
Download QR code