Case

5.0The average rating is 5 stars out of 5.

Early Placement of an Implant in a Maxillary Left First Premolar Site

Yasushi Nakajima

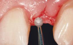
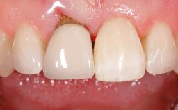
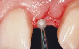
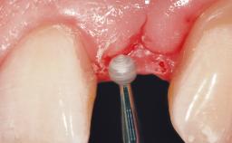
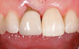
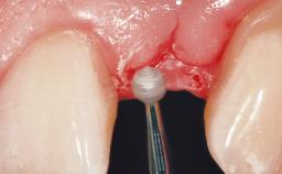
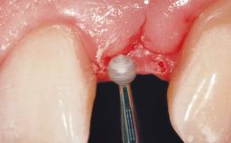
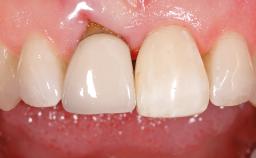
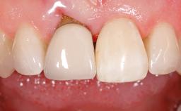
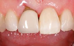
A 51-year-old female patient presented with a chief complaint of occlusal pain at tooth 24 and had been referred to our clinic for consultation and treatment. The patient had no history of any systemic disorder that may have affected the treatment outcome, and she was a non-smoker. Tooth 24 had been endodontically treated and restored with a crown at another clinic due to caries ten years before. The pre-treatment radiograph revealed a root fracture of tooth 24 with significant bone resorption. The pocket probing depth was 8 mm. The tooth had to be extracted. During the minimally traumatic extraction of tooth 24, a dehiscence was found on the buccal wall of the extraction socket. In response to the patient’s wish for a comprehensive treatment of the entire jaw,a suitable treatment plan was developed.

Surgical SAC classification
Advanced
Prosthodontic SAC classification
Advanced
Source
Treatment Guide 3
Purchase price
10 Academy Coins
CPD/CME
0.25 hours

General information

Case Type Single-Tooth Space
Jaw Maxilla
Area Posterior
# of Teeth 1
# of Implants 1
Type of Implants One-Piece
Attachment One-Piece
Bone Augmentation Horizontal|Simultaneous
Augmentation Materials Membrane
Guided Surgery No
Soft Tissue Grafting Staged
Abutment Type Standard
Prosthesis Type FDP

Esthetic Risk Assessment

Esthetic Risk Factors Low Medium High
Medical Status Healthy Compromised
Smoking Habit Non-smoker Light smoker (< 10 cigarettes per day) Heavy smoker (>= 10 cigarettes per day)
Patient's Esthetic Expectations Low Medium High
Lip Line No exposure of papillae Exposure of papillae Full exposure of mucosa margin
Periodontal Phenotype Low-scalloped, thick Medium-scalloped, medium-thick High-scalloped, thin
Shape of Tooth Crowns Rectangular Triangular
Infection at Implant Site None Chronic Acute
Bone Level at Adjacent Teeth <= 5 mm to contact point 5.5 to 6.5 mm to contact point > 7 mm to contact point
Prosthodontic Status of Neighboring Teeth Virgin Restored
Width of Edentulous Span 1 tooth (>= 7 mm) 1 tooth (< 7 mm) 2 teeth or more
Soft Tissue Anatomy Intact Defective
Bone Volume Horizontally and vertically sufficient Horizontally deficient Deficient vertically or deficient vertically AND horizontally
  • * General SAC assessment modifiers that are also part of the ERA. To avoid redundancy they are listed in this section even if no complete ERA has been made.

  • ** Not applicable to the ERA of immediate placement cases and replaced by "Socket Integrity" listed below under "Surgical SAC Classification". For all other placement types this value is a classification determinant and listed here even if no complete ERA has been made.

Surgical SAC classification

SAC Level Advanced
Defining Characteristics One missing tooth to be replaced by an implant-borne prosthesis
Modality -
Placement Protocol Early or late implant placement
Tooth Site -
Socket Morphology -
Socket Integrity -
Bone Volume Deficient horizontally, allowing simultaneous augumentation
Anatomic Risk Low
Esthetic Risk High
Complexity Moderate
Risk of Complications Moderate

Prosthodontic SAC classification

SAC Level Advanced
Defining Characteristics One missing tooth to be replaced by an implant-borne crown
Loading Protocol Conventional or early
Retention Screw-retained Screw-retained
Maxillomandibular Relationship -
Mesio-Distal Space Anatomic space corresponding to the missing tooth +/- 1 mm
Inter-Arch Distance Ideal tooth height +/- 1 mm
Bruxism Absent
Esthetic Risk High
Provisional Implant-Supported Prosthesis Prosthodontic margin < 3 mm apical to mucosal margin Prosthodontic margin < 3 mm apical to mucosal margin
Interim Prosthesis during Healing - -
Occlusion/Articulation -
Occlusal Scheme/Issues -

Surgical SAC Modifiers

Periodontal Status History of periodontitis or genetic predisposition

Prosthodontic SAC Modifiers

Soft Tissue Contour and Volume Slightly compromised

General SAC Modifiers

Oral Hygiene and Compliance Good
Access Adequate
Craniofacial/Skeletal Growth Completed
Publication date: Jan 11, 2015 Last review date: Apr 10, 2023 Next review date: Apr 10, 2026

ITI QR code Mvc

Share this page

Download the QR code with a link to this page and use it in your presentations or share it on social media.

Download QR code
QR code