Case

5.0The average rating is 5 stars out of 5.

Retreatment of a Patient with Multiple Biological and Technical Complications and Failures

Stefan Paul Hicklin, Sandro Tettamanti, Urs Braegger

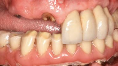
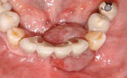
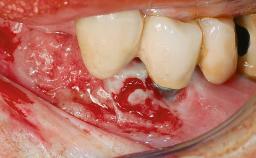
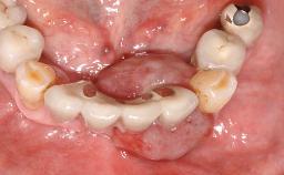
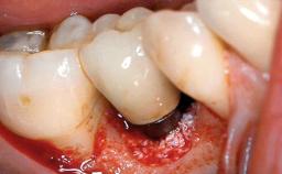
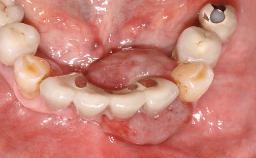
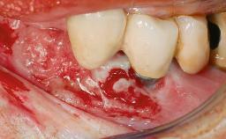
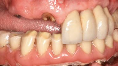
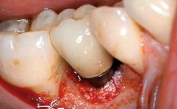
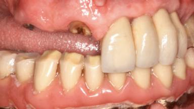
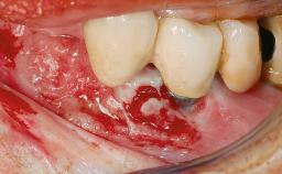
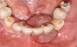
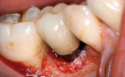
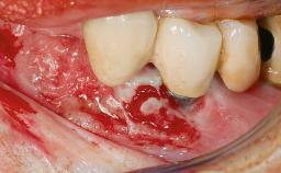
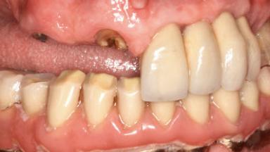
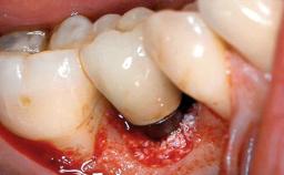
A 66-year-old patient presented because of retention loss of the tooth-supported FDP in the right maxilla (x-13-x-11). The mandibular full-arch implant-supported reconstruction (x-i34-i33-x-x-x-x-i43-i44-x) had suffered extreme wear. His medical history revealed high blood pressure, controlled with anti-hypertensive medication. The patient was a light smoker (2 to 3 cigarettes per day). The existing reconstructions had been performed alio loco about five years previously. That treatment had taken an extensive amount of time, and as early as during the fabrication of the reconstructions, multiple complications had occurred with the provisionals.

Surgical SAC classification
Straightforward
Prosthodontic SAC classification
Complex
Source
Treatment Guide 8
Purchase price
10 Academy Coins
CPD/CME
0.15 hours

General information

Case Type Edentulous Maxilla
Jaw Maxilla and Mandible
Area Full-Arch
# of Teeth All
# of Implants 8
Type of Implants One-Piece
Attachment One-Piece
Bone Augmentation No
Augmentation Materials -
Guided Surgery No
Soft Tissue Grafting None
Abutment Type Standard
Prosthesis Type RDP

Esthetic Risk Assessment

Esthetic Risk Factors Low Medium High
Medical Status Healthy Compromised
Smoking Habit Non-smoker Light smoker (< 10 cigarettes per day) Heavy smoker (>= 10 cigarettes per day)
Patient's Esthetic Expectations Low Medium High
Lip Line No exposure of papillae Exposure of papillae Full exposure of mucosa margin
Periodontal Phenotype Low-scalloped, thick Medium-scalloped, medium-thick High-scalloped, thin
Shape of Tooth Crowns Rectangular Triangular
Infection at Implant Site None Chronic Acute
Bone Level at Adjacent Teeth <= 5 mm to contact point 5.5 to 6.5 mm to contact point > 7 mm to contact point
Prosthodontic Status of Neighboring Teeth Virgin Restored
Width of Edentulous Span 1 tooth (>= 7 mm) 1 tooth (< 7 mm) 2 teeth or more
Soft Tissue Anatomy Intact Defective
Bone Volume Horizontally and vertically sufficient Horizontally deficient Deficient vertically or deficient vertically AND horizontally
  • * General SAC assessment modifiers that are also part of the ERA. To avoid redundancy they are listed in this section even if no complete ERA has been made.

  • ** Not applicable to the ERA of immediate placement cases and replaced by "Socket Integrity" listed below under "Surgical SAC Classification". For all other placement types this value is a classification determinant and listed here even if no complete ERA has been made.

Surgical SAC classification

SAC Level Straightforward
Defining Characteristics Fully edentulous upper jaw to be rehabilitated with four or more implants
Modality Overdenture on 4 implants
Placement Protocol -
Tooth Site -
Socket Morphology -
Socket Integrity -
Bone Volume Horizontally and vertically sufficient
Anatomic Risk Low
Esthetic Risk High
Complexity Low
Risk of Complications Low

Prosthodontic SAC classification

SAC Level Complex
Defining Characteristics Fully edentulous upper jaw to be rehabilitated with an implant-borne removable overdenture
Loading Protocol Conventional/early
Retention - -
Maxillomandibular Relationship -
Mesio-Distal Space -
Inter-Arch Distance -
Bruxism Absent
Esthetic Risk High
Provisional Implant-Supported Prosthesis - -
Interim Prosthesis during Healing Removable Removable
Occlusion/Articulation -
Occlusal Scheme/Issues Anterior guidance

Surgical SAC Modifiers

Periodontal Status History of periodontitis or genetic predisposition

Prosthodontic SAC Modifiers

Soft Tissue Contour and Volume -

General SAC Modifiers

Oral Hygiene and Compliance Insufficient
Access Adequate
Craniofacial/Skeletal Growth Completed
Publication date: Dec 21, 2015 Last review date: Dec 14, 2023 Next review date: Dec 14, 2026

ITI QR code Mvc

Share this page

Download the QR code with a link to this page and use it in your presentations or share it on social media.

Download QR code
QR code