Replacement of Two Central Incisors with Non-Splinted Crowns on Bone-Level Implants - Clinical Case Report - Home
Clinical Case Report
Replacement of Two Central Incisors with Non-Splinted Crowns on Bone-Level Implants
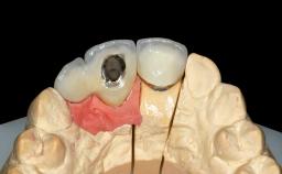
A 27-year-old female patient was referred to the Clinic of Oral Surgery and Stomatology of the University of Bern due to acute pain in the region of her two maxillary central incisors. The patient was in good general health. She reported a bicycle accident approximately 5 years earlier in which teeth 11 and 21 had been traumatized but neither fractured nor displaced. Several weeks after the accident, endodontic treatment was performed on both central incisors, although the patient did not recall the precise reasons for this decision. About 2 years ago, non-vital bleaching had been conducted, in accordance with the “walking-bleach” principle, due to progressive discoloration of teeth 11 and 21.
- Surgical SAC classification
- Advanced
- Prosthodontic SAC classification
- Advanced
- Source
- Treatment Guide 6
- Purchase price
- 10 Academy Coins
- CPD/CME
- 0.15 hours
Share this page
Download the QR code with a link to this page and use it in your presentations or share it on social media.
Download QR code