Replacement of a Missing Upper Left Central Incisor: Late Placement of an RC Bone Level Implant, CAD/CAM Zirconia Abutment - Clinical Case Report - Home
Clinical Case Report
Replacement of a Missing Upper Left Central Incisor: Late Placement of an RC Bone Level Implant, CAD/CAM Zirconia Abutment
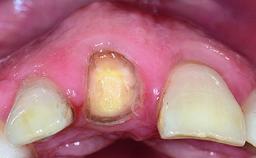
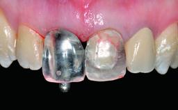
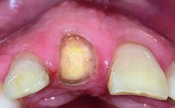
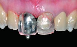
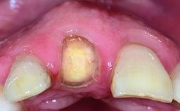
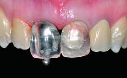
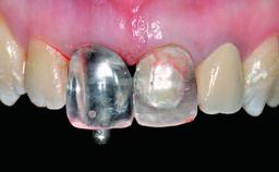
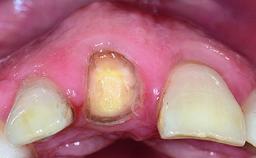
A healthy 37-year-old female patient was referred for a consultation on the replacement of missing tooth 21 with an implant-supported restoration. She stated that several years previously the tooth had been traumatically avulsed following a motor vehicle accident. The tooth was replaced with a three-unit fixed partial denture (FPD) immediately afterwards. Over time, she became disillusioned with the FPD and looked for a different option, including orthodontic therapy. She presented still in her orthodontic appliances, with the pontic sectioned free from the FPD but attached to the archwire. Her orthodontist felt that orthodontic treatment had been successfully completed, but nevertheless referred her before removing the appliances in case adjustments were necessary.
- Surgical SAC classification
- Advanced
- Prosthodontic SAC classification
- Advanced
- Source
- Treatment Guide 10
- Purchase price
- 10 Academy Coins
- CPD/CME
- 0.15 hours
Share this page
Download the QR code with a link to this page and use it in your presentations or share it on social media.
Download QR code