Congress Lecture

0.0The average rating is 0 stars out of 5.
Prosthodontic Planning and Procedures

The Limitations and Possibilities when Integrating Digitalization in the Choice of Prosthetic Materials

Alejandro Lanis

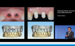
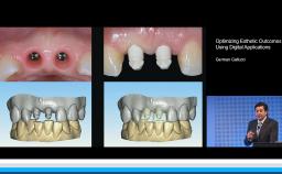
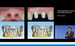
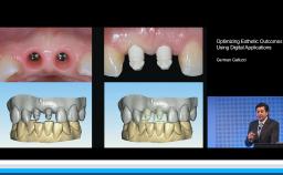
Digital technology is revolutionizing the medical field. CAD CAM dentistry is now being applied as a standard of care giving the clinician a wide broad of options when placing and restoring dental implants. From surgical planning to restorations manufacture, the amount of data managed under the digital workflow is contributing to optimize treatment time, costs and results.

In the following lecture we will discuss in detail how to choose the appropriate material in different clinical situations. We will observe the limitations and possibilities of different materials and procedures and analyze scientific evidence to obtain predictable guidelines for successful and long-lasting treatment outcomes.

After watching this lecture, you will be able to

  • To identify the indications of CAD CAM materials in the restoration of dental implants.
  • To understand the digital workflow for the restoration of dental implants.
  • To become familiar with clinical pathway of digital implant placement and cad cam restoration
Duration
16 minutes
Source
ITI World Symposium 2021
CPD/CME
0 hours
Purchase price
0 Academy Coins
Publication date: Nov 6, 2023 Last review date: Oct 30, 2023 Next review date: Oct 30, 2026
  • Congress Lecture
  • English
  • Languages
  • Prosthodontic Planning & Procedures

ITI QR code Mvc

Share this page

Download the QR code with a link to this page and use it in your presentations or share it on social media.

Download QR code
QR code