Congress Lecture

0.0The average rating is 0 stars out of 5.
Treatment Outcomes and Continuing Care

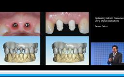
Reconstructive Management of Malaligned Implants and Infrapositioned Implants in Young Adults

Nicola Ursula Zitzmann

Clinical problems with implant restorations comprise biological and technical complications and are often associated with esthetic and/or functional impairment.

Implant malpositioning or infrapositioning following ongoing growth (when implants had been placed in young adults) are a clinical challenge, particularly in single tooth implants in the maxillary anterior region.

While technical advancement with mesostructures, adhesive techniques and the application of pink porcelain frequently facilitate esthetically acceptable implant restorations, implant repositioning or removal may be regarded as last resort in extreme situations.

Alternative treatment options for single-tooth replacement comprise orthodontic space closure particularly in adolescence, and adhesive restorations either with a metal framework or full ceramics as a minimally invasive temporary or long-term treatment option.

Duration
46 minutes
Source
ITI Congress Australasia 2013
CPD/CME
0.76 hours
Purchase price
23 Academy Coins
Publication date: Oct 13, 2014 Last review date: Oct 12, 2023 Next review date: Oct 12, 2026
  • 3 - Proficient to Expert
  • Congress Lecture
  • English
  • Languages
  • Treatment Outcomes & Continuing Care

ITI QR code Mvc

Share this page

Download the QR code with a link to this page and use it in your presentations or share it on social media.

Download QR code
QR code