Congress Lecture

5.0The average rating is 5 stars out of 5.
Prosthodontic Planning and Procedures

Implant Prosthodontics: Key Factors for Long-term Success

Dean Morton

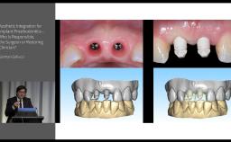
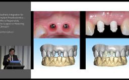
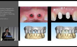
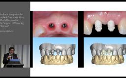
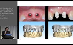
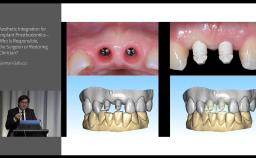
Dental implants are designed to provide support, stability, and retention for dental prostheses. In addition, implants have evolved to enable optimal esthetic and functional outcomes for patients seeking dental rehabilitation for a variety of indications. This lecture focuses on optimizing prosthodontic outcomes for patients via a systematic and evidence-based team approach to treatment. This includes contemporary treatment planning with an emphasis on communication of ideal implant placement; choice of implants, components, and restorative biomaterials to minimize complications; and prosthesis design and maintenance options to enhance longevity.

At the end of this Congress Lecture you should be able to…

  • explain the importance of a team approach to comprehensive implant-based therapy and its influence on prosthodontic quality and predictability
  • recognize contemporary implant and prosthodontic components and their influence on ability to achieve optimal prosthodontic outcomes
  • apply contemporary evidence-based prosthodontic protocols to comprehensive treatment strategies for a range of partially and completely edentulous indications
Duration
30 minutes
Source
ITI World Symposium 2017
CPD/CME
0.5 hours
Purchase price
15 Academy Coins
Publication date: Jun 29, 2017 Last review date: Jun 22, 2023 Next review date: Jun 22, 2026
  • 1 - Beginner
  • Congress Lecture
  • English
  • Languages
  • Prosthodontic Planning & Procedures

ITI QR code Mvc

Share this page

Download the QR code with a link to this page and use it in your presentations or share it on social media.

Download QR code
QR code