How to Use GBR in Implant Patients - Congress Lectures - Home
                    Surgical Planning and Procedures
            
            
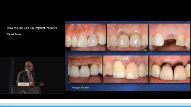
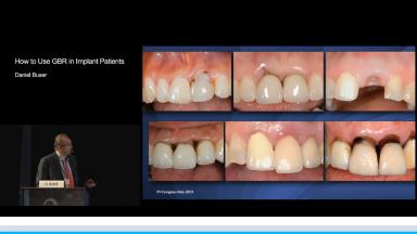
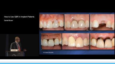
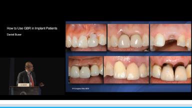
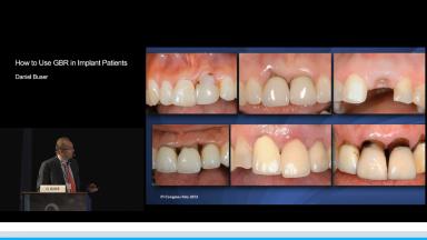
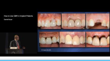
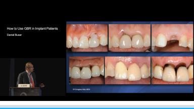
        How to Use GBR in Implant Patients
Guided Bone Regeneration is a proven and predictable surgical technique to regenerate local bone defects at potential implant sites. The GBR technique can be used in most cases with a simultaneous approach, at the time of implant placement. In cases with extended bone defects, a staged approach is necessary with ridge augmentation first and implant placement 4 to 6 months later.
This lecture provides an overview of the application of GBR in implant patients with an emphasis on the following two clinical situations:
- Implant placement with simultaneous GBR
 - Surgical management of esthetic complications using GBR
 
                            
                    - Duration
 - 58 minutes
 - Source
 - ITI Congress Italy 2013
 - CPD/CME
 - 0.96 hours
 - Purchase price
 - 29 Academy Coins
 
Share this page
Download the QR code with a link to this page and use it in your presentations or share it on social media.
Download QR code