Digital Workflow for Fixed Implant Rehabilitation of the Edentulous Jaw - Congress Lectures - Home
Digital Workflow for Fixed Implant Rehabilitation of the Edentulous Jaw
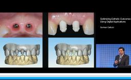
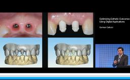
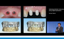
This lecture describes the treatment approach using a digital workflow for fixed implant rehabilitation of edentulous jaws. Treatment sequence, implant number and distribution, and the implant-prosthetic design are all thoroughly discussed. The speaker presents a detailed approach to full-arch rehabilitation using the digital workflow, which includes immediate loading with fixed screw-retained provisional prostheses during the healing phase. Other techniques presented include use of transitional implants and segmentation of full-arch prostheses. Evidence is presented on digital versus conventional implant impressions and the anterior-posterior distribution of implants in relation to survival.
At the end of this Congress Lecture you should be able to…
- describe the appropriate number and location of implants in the fixed rehabilitation of the edentulous patient
- discuss the advantages of virtual planning to reduce risk of failures
- describe the various approaches in rehabilitating the edentulous patient using the digital work flow
- describe an alternative method to immediate loading using fixed screw-retained provisional prostheses
- Duration
- 45 minutes
- Source
- ITI Congress Middle East 2018
- CPD/CME
- 0.77 hours
- Purchase price
- 23 Academy Coins
Share this page
Download the QR code with a link to this page and use it in your presentations or share it on social media.
Download QR code