Curriculum für Orale Regeneration: Sofortimplantation - Congress Lectures - Home
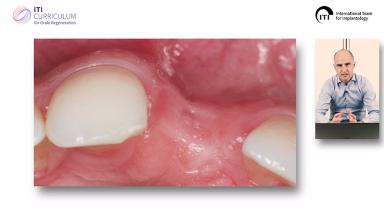
Surgical Planning and Procedures
Curriculum für Orale Regeneration: Sofortimplantation
- Duration
- 99 minutes
- Source
- ITI Curriculum für Orale Regeneration 2021
- CPD/CME
- 0 hours
- Purchase price
- 0 Academy Coins
Share this page
Download the QR code with a link to this page and use it in your presentations or share it on social media.
Download QR code