Como tornar a cirurgia mais simples e previsível - Congress Lectures - Home
Como tornar a cirurgia mais simples e previsível
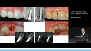
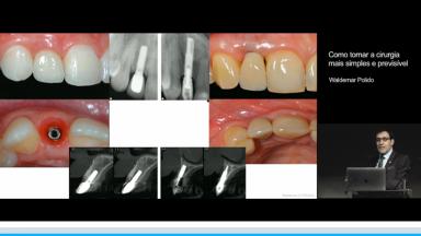
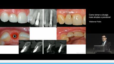
A apresentação demonstra fatores de risco relacionado ao resultado protético com implantes. Ressalta as expectativas dos pacientes no tratamento e como planejar procedimentos cirúrgicos de forma a se aproximar destas expectativas. Para isso, são destacados a importância do conhecimento da anatomia do rebordo alveolar, e como seus defeitos de tecidos duros e moles impactam a morfologia dos tecidos perimplantares. Também, são discutidos estratégias para obtenção de estabilidade através de técnica cirúrgica, conhecimento da macrogeometria e tecnologia de superfície. Além disso, a relevância da posição ideal para estabilidade tecidual, e como o planejamento virtual e guias cirúrgicas podem auxiliar na obtenção da posição 3D são esclarecidas. Por fim, são descritos também o papel do volume de tecidos duros e as possíveis complicacões relacionadas a erros de planejamento.
Ao final desta aula você deve ser capaz de…
- discutir as expectativas atuais dos pacientes em relação às reabilitações implantossuportadas
- identificar fatores de risco no tratamento com implantes
- descrever o papel da técnica cirúrgica, da posição e da manipulação dos tecidos para diminuir a morbidade, e melhorar a estabilidade dos tecidos
- Duration
- 34 minutes
- Source
- ITI Congress Brazil 2018
- CPD/CME
- 0.57 hours
- Purchase price
- 17 Academy Coins
Share this page
Download the QR code with a link to this page and use it in your presentations or share it on social media.
Download QR code