Congress Lecture

0.0The average rating is 0 stars out of 5.
Surgical Planning and Procedures

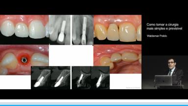
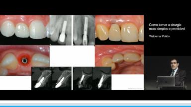
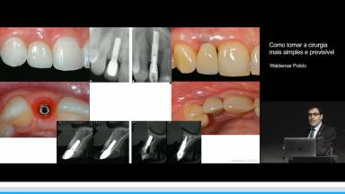
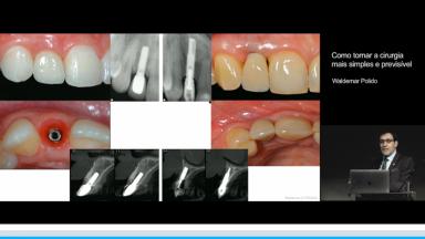
Como tornar a cirurgia mais simples e previsível

Waldemar Daudt Polido

A apresentação demonstra fatores de risco relacionado ao resultado protético com implantes. Ressalta as expectativas dos pacientes no tratamento e como planejar procedimentos cirúrgicos de forma a se aproximar destas expectativas. Para isso, são destacados a importância do conhecimento da anatomia do rebordo alveolar, e como seus defeitos de tecidos duros e moles impactam a morfologia dos tecidos perimplantares. Também, são discutidos estratégias para obtenção de estabilidade através de técnica cirúrgica, conhecimento da macrogeometria e tecnologia de superfície. Além disso, a relevância da  posição ideal para estabilidade tecidual, e como o planejamento virtual e guias cirúrgicas podem auxiliar na obtenção da posição 3D são esclarecidas. Por fim, são descritos também o papel do volume de tecidos duros e as possíveis complicacões relacionadas a erros de planejamento. 

Ao final desta aula você deve ser capaz de…

  • discutir as expectativas atuais dos pacientes em relação às reabilitações implantossuportadas
  • identificar fatores de risco no tratamento com implantes
  • descrever o papel da técnica cirúrgica, da posição e da manipulação dos tecidos para diminuir a morbidade, e melhorar a estabilidade dos tecidos
Duration
34 minutes
Source
ITI Congress Brazil 2018
CPD/CME
0.57 hours
Purchase price
17 Academy Coins
Publication date: Apr 30, 2019 Last review date: Apr 23, 2023 Next review date: Apr 23, 2026
  • Congress Lecture
  • Languages
  • Portuguese
  • Surgical Planning & Procedures

ITI QR code Mvc

Share this page

Download the QR code with a link to this page and use it in your presentations or share it on social media.

Download QR code
QR code