Choice of Reconstructive Material in Times of CAD/CAM - Congress Lectures - Home
Choice of Reconstructive Material in Times of CAD/CAM
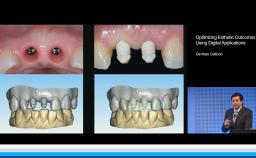
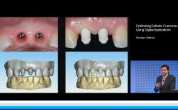
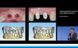
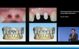
Ceramic materials are increasingly used for the fabrication of dental reconstructions. However, because there are so many options for fabricating ceramic prostheses, the selection of an ‘ideal’ material is becoming more and more complex. This lecture presents concepts for choosing the type of reconstruction, material, and method of fabrication for a highly esthetic outcome. Long-term survival rates, advantages, and limitations for new ceramic methods and materials - in particular high-strength ceramic zirconia - are presented in this lecture. The results of clinical studies comparing digital CAD/CAM and conventional workflows for fabrication of all-ceramic restorations are also presented.
At the end of this Congress Lecture you should be able to…
- explain the indications and limitations of the new CAD/CAM technologies
- describe the selection of and indications for CAD/CAM monolithic restorations
- discuss the ideal implementation of the Ti-Base concept
- Duration
- 30 minutes
- Source
- ITI Online Academy Recordings, Basel, Switzerland, 2017
- CPD/CME
- 0.5 hours
- Purchase price
- 15 Academy Coins
Share this page
Download the QR code with a link to this page and use it in your presentations or share it on social media.
Download QR code