Treatment of Advanced Peri-Implantitis by Implant Removal Followed by Bone Reconstruction and New Implant Placement - Clinical Case Report - Home
Clinical Case Report
Treatment of Advanced Peri-Implantitis by Implant Removal Followed by Bone Reconstruction and New Implant Placement
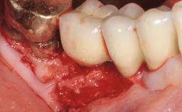
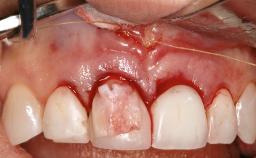
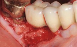
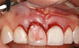
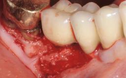
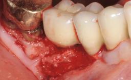
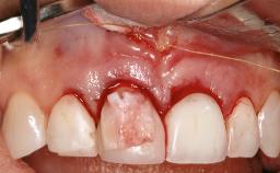
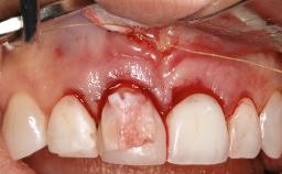
Paolo Casentini and Matteo Chiapasco present a case in which the peri-implant defect was not suitable for a fully regenerative approach. It involves implant removal, use of a CAD/CAM customized titanium mesh in the grafting phase, and placement of new implants. A 62-year-old woman was referred for consultation regarding her implant-supported prosthesis replacing teeth 14 to 16. The patient’s main concern was pain and recurrent swelling in the right posterior maxilla. The patient also reported difficulty and discomfort when brushing the area. The patient reported she had been treated in another country, where she had received three implants in combination with sinus-floor augmentation for the replacement of the posterior maxillary teeth three years earlier. The patient indicated “endodontic complications” to be the reason for the extraction of the teeth.
- Surgical SAC classification
- -
- Prosthodontic SAC classification
- -
- Source
- Treatment Guide 13
- Purchase price
- 10 Academy Coins
- CPD/CME
- 0.25 hours
Share this page
Download the QR code with a link to this page and use it in your presentations or share it on social media.
Download QR code