Case

5.0The average rating is 5 stars out of 5.

Treatment of Advanced Peri-Implantitis by Implant Removal Followed by Bone Reconstruction and New Implant Placement

Paolo Casentini, Matteo Chiapasco

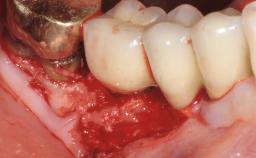
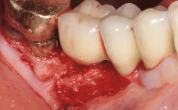
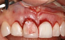
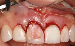
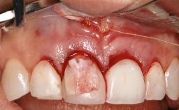
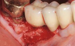
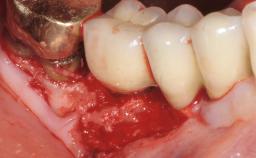
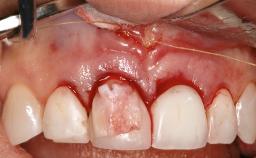
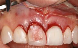
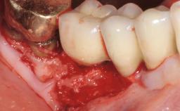
Paolo Casentini and Matteo Chiapasco present a case in which the peri-implant defect was not suitable for a fully regenerative approach. It involves implant removal, use of a CAD/CAM customized titanium mesh in the grafting phase, and placement of new implants. A 62-year-old woman was referred for consultation regarding her implant-supported prosthesis replacing teeth 14 to 16. The patient’s main concern was pain and recurrent swelling in the right posterior maxilla. The patient also reported difficulty and discomfort when brushing the area. The patient reported she had been treated in another country, where she had received three implants in combination with sinus-floor augmentation for the replacement of the posterior maxillary teeth three years earlier. The patient indicated “endodontic complications” to be the reason for the extraction of the teeth.

Surgical SAC classification
-
Prosthodontic SAC classification
-
Source
Treatment Guide 13
Purchase price
10 Academy Coins
CPD/CME
0.25 hours

General information

Case Type
Jaw -
Area -
# of Teeth -
# of Implants -
Type of Implants -
Attachment -
Bone Augmentation -
Augmentation Materials -
Guided Surgery -
Soft Tissue Grafting -
Abutment Type -
Prosthesis Type -

Esthetic Risk Assessment

Esthetic Risk Factors Low Medium High
Medical Status Healthy Compromised
Smoking Habit Non-smoker Light smoker (< 10 cigarettes per day) Heavy smoker (>= 10 cigarettes per day)
Patient's Esthetic Expectations Low Medium High
Lip Line No exposure of papillae Exposure of papillae Full exposure of mucosa margin
Periodontal Phenotype Low-scalloped, thick Medium-scalloped, medium-thick High-scalloped, thin
Shape of Tooth Crowns Rectangular Triangular
Infection at Implant Site None Chronic Acute
Bone Level at Adjacent Teeth <= 5 mm to contact point 5.5 to 6.5 mm to contact point > 7 mm to contact point
Prosthodontic Status of Neighboring Teeth Virgin Restored
Width of Edentulous Span 1 tooth (>= 7 mm) 1 tooth (< 7 mm) 2 teeth or more
Soft Tissue Anatomy Intact Defective
Bone Volume Horizontally and vertically sufficient Horizontally deficient Deficient vertically or deficient vertically AND horizontally
  • * General SAC assessment modifiers that are also part of the ERA. To avoid redundancy they are listed in this section even if no complete ERA has been made.

  • ** Not applicable to the ERA of immediate placement cases and replaced by "Socket Integrity" listed below under "Surgical SAC Classification". For all other placement types this value is a classification determinant and listed here even if no complete ERA has been made.

Surgical SAC classification

SAC Level -
Defining Characteristics -
Modality -
Placement Protocol -
Tooth Site -
Socket Morphology -
Socket Integrity -
Bone Volume -
Anatomic Risk -
Esthetic Risk -
Complexity
Risk of Complications -

Prosthodontic SAC classification

SAC Level -
Defining Characteristics -
Loading Protocol -
Retention -
Maxillomandibular Relationship -
Mesio-Distal Space -
Inter-Arch Distance -
Bruxism -
Esthetic Risk -
Provisional Implant-Supported Prosthesis -
Interim Prosthesis during Healing -
Occlusion/Articulation -
Occlusal Scheme/Issues -

Surgical SAC Modifiers

Periodontal Status -

Prosthodontic SAC Modifiers

Soft Tissue Contour and Volume -

General SAC Modifiers

Oral Hygiene and Compliance -
Access -
Craniofacial/Skeletal Growth -
Publication date: Jan 25, 2024 Last review date: Jan 18, 2024 Next review date: Jan 18, 2027

ITI QR code Mvc

Share this page

Download the QR code with a link to this page and use it in your presentations or share it on social media.

Download QR code
QR code