Surgical Management of Peri-Implantitis: Reconstructive Surgical Treatment with Three-Year Follow-up After Treatment - Clinical Case Report - Home
Clinical Case Report
Surgical Management of Peri-Implantitis: Reconstructive Surgical Treatment with Three-Year Follow-up After Treatment
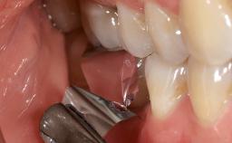
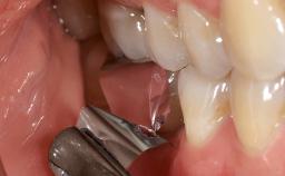
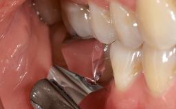
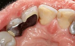
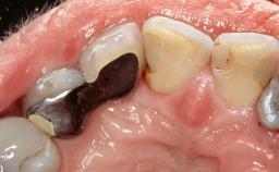
Despite anti-infective surgical treatment, some patients may experience recurrent infection and progressive bone loss requiring additional treatment. Removal of Implant Due to Recurrent Infection describes a conservative approach using an implant retrieval tool without the need for excessive bone removal or use of a trephine.
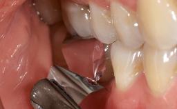
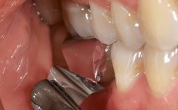
A 70-year-old female patient was referred by her general dentist to the periodontist for assessment and management of an infection associated with implant 36. The general dentist had noted suppuration on probing during examination.
- Surgical SAC classification
- -
- Prosthodontic SAC classification
- -
- Source
- Treatment Guide 13
- Purchase price
- 10 Academy Coins
- CPD/CME
- 0.25 hours
Share this page
Download the QR code with a link to this page and use it in your presentations or share it on social media.
Download QR code