Case

0.0The average rating is 0 stars out of 5.

Surgical Management of Peri-Implantitis: Open-Flap Debridement with Seven-Year Follow-up After Treatment

Lisa J A Heitz-Mayfield

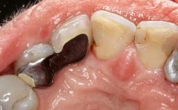
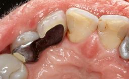
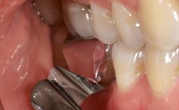
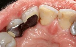
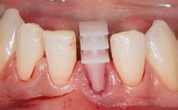
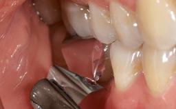
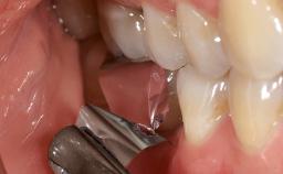
This case describes both a surgical and an anti-infective approach for the management of peri-implantitis, including treatment of the entire dentition to eliminate any deep periodontal pockets that could serve as reservoirs for bacterial re-colonization at the implant site. A 65-year-old female patient was referred to the periodontist in 2013 for assessment and management of an infection at implant 12. On examination, probing depths at implant 12 were 11 mm with suppuration and bleeding on probing.

Surgical SAC classification
-
Prosthodontic SAC classification
-
Source
Treatment Guide 13
Purchase price
10 Academy Coins
CPD/CME
0.25 hours

General information

Case Type
Jaw -
Area -
# of Teeth -
# of Implants -
Type of Implants -
Attachment -
Bone Augmentation -
Augmentation Materials -
Guided Surgery -
Soft Tissue Grafting -
Abutment Type -
Prosthesis Type -

Esthetic Risk Assessment

Esthetic Risk Factors Low Medium High
Medical Status Healthy Compromised
Smoking Habit Non-smoker Light smoker (< 10 cigarettes per day) Heavy smoker (>= 10 cigarettes per day)
Patient's Esthetic Expectations Low Medium High
Lip Line No exposure of papillae Exposure of papillae Full exposure of mucosa margin
Periodontal Phenotype Low-scalloped, thick Medium-scalloped, medium-thick High-scalloped, thin
Shape of Tooth Crowns Rectangular Triangular
Infection at Implant Site None Chronic Acute
Bone Level at Adjacent Teeth <= 5 mm to contact point 5.5 to 6.5 mm to contact point > 7 mm to contact point
Prosthodontic Status of Neighboring Teeth Virgin Restored
Width of Edentulous Span 1 tooth (>= 7 mm) 1 tooth (< 7 mm) 2 teeth or more
Soft Tissue Anatomy Intact Defective
Bone Volume Horizontally and vertically sufficient Horizontally deficient Deficient vertically or deficient vertically AND horizontally
  • * General SAC assessment modifiers that are also part of the ERA. To avoid redundancy they are listed in this section even if no complete ERA has been made.

  • ** Not applicable to the ERA of immediate placement cases and replaced by "Socket Integrity" listed below under "Surgical SAC Classification". For all other placement types this value is a classification determinant and listed here even if no complete ERA has been made.

Surgical SAC classification

SAC Level -
Defining Characteristics -
Modality -
Placement Protocol -
Tooth Site -
Socket Morphology -
Socket Integrity -
Bone Volume -
Anatomic Risk -
Esthetic Risk -
Complexity
Risk of Complications -

Prosthodontic SAC classification

SAC Level -
Defining Characteristics -
Loading Protocol -
Retention -
Maxillomandibular Relationship -
Mesio-Distal Space -
Inter-Arch Distance -
Bruxism -
Esthetic Risk -
Provisional Implant-Supported Prosthesis -
Interim Prosthesis during Healing -
Occlusion/Articulation -
Occlusal Scheme/Issues -

Surgical SAC Modifiers

Periodontal Status -

Prosthodontic SAC Modifiers

Soft Tissue Contour and Volume -

General SAC Modifiers

Oral Hygiene and Compliance -
Access -
Craniofacial/Skeletal Growth -
Publication date: Sep 28, 2023 Last review date: Sep 21, 2023 Next review date: Sep 21, 2026

ITI QR code Mvc

Share this page

Download the QR code with a link to this page and use it in your presentations or share it on social media.

Download QR code
QR code