
SFE with a Composite Graft using a Combined Simultaneous and Staged Approach - Clinical Case Report - Home
Clinical Case Report
SFE with a Composite Graft using a Combined Simultaneous and Staged Approach
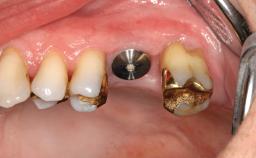
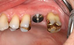
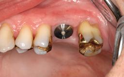
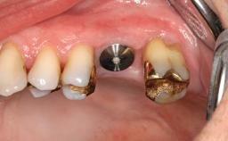
A 38-year-old woman was referred to our department for implant therapy. She was healthy and a non-smoker. The referring dentist had been forced to extract the second premolar in the right maxilla and requested a detailed examination for implant therapy. The clinical examination revealed a single-tooth gap with healed mucosa. The crest width was considered adequate for implant placement. The adjacent first molar had been restored with a crown and displayed a metal margin, which bothered the patient from an esthetic viewpoint.

- Surgical SAC classification
- Complex
- Prosthodontic SAC classification
- Straightforward
- Source
- Treatment Guide 5
- Purchase price
- 10 Academy Coins
- CPD/CME
- 0.15 hours
Share this page
Download the QR code with a link to this page and use it in your presentations or share it on social media.
Download QR code