Replacement of Two Central Incisors and One Lateral Incisor with a Fixed Dental Prosthesis on Two Tissue-Level Implants - Clinical Case Report - Home
Clinical Case Report
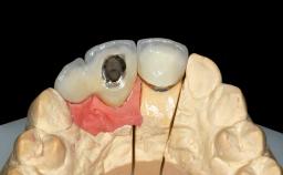
Replacement of Two Central Incisors and One Lateral Incisor with a Fixed Dental Prosthesis on Two Tissue-Level Implants
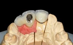
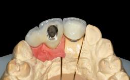
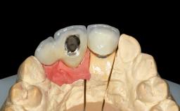
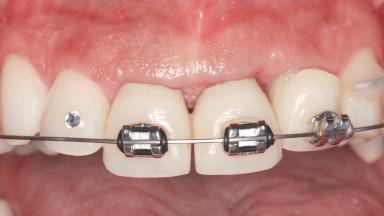
A 29-year-old woman was referred to our department for implant therapy. At the day of examination, a detailed Esthetic Risk Assessment (ERA) was performed (Martin and coworkers 2006). The patient was in good general health, but a heavy smoker (more than 20 cigarettes per day). When her midface had been injured in a severe car accident 10 years earlier, the dentition in the anterior maxilla was also affected. The injured anterior teeth (11, 21, 22) required endodontic treatment and were restored with crowns. Within a few years of the accident, the patient developed a considerable esthetic problem due to progressive recession of the gingiva in the area of the restored teeth. The local status demonstrated severe exposure of the root surfaces, especially of root 21, and black triangles between the three teeth. Thanks to her medium smile line, the patient was able to conceal the exposed root surfaces, but not the black triangles.
- Surgical SAC classification
- Complex
- Prosthodontic SAC classification
- Advanced
- Source
- Treatment Guide 6
- Purchase price
- 10 Academy Coins
- CPD/CME
- 0.15 hours
Share this page
Download the QR code with a link to this page and use it in your presentations or share it on social media.
Download QR code