Case

5.0The average rating is 5 stars out of 5.

Replacement of an Upper Right Central Incisor with a Regular Neck Implant, Restored with an All-Ceramic Crown, Cemented

William Christopher Martin

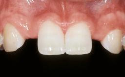
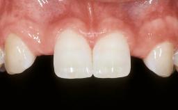
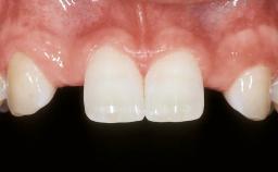
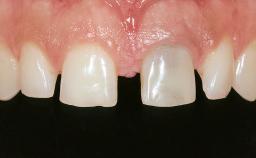
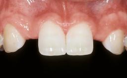
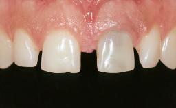
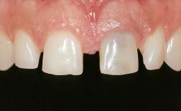
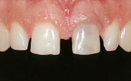
A healthy 32-year-old female patient presented for a consultation on treatment options to restore her missing central incisor 11. She reported of a recent sporting accident in which she had lost part of her tooth. The remaining tooth structure and root had been removed by a local periodontist, followed by a socket-preservation procedure. She was unaware of current treatment options to replace her missing tooth and wanted to explore the most esthetic and functional options available. A brief consultation showed that the patient was not interested in orthognathic procedures to address her maxillary overbite, nor in any alternative procedures to lower her high lip line. With her interim prosthesis in place, an evaluation of her smile highlighted several malpositioned teeth surrounding tooth 11. Comparing the maxillary canines, it was evident that tooth 13 was rotated. Comparison of the lateral incisors revealed that tooth 12 had a flared appearance.

Surgical SAC classification
Advanced
Prosthodontic SAC classification
Advanced
Source
Treatment Guide 1
Purchase price
10 Academy Coins
CPD/CME
0.15 hours

General information

Case Type Single-Tooth Space
Jaw Maxilla
Area Anterior
# of Teeth 1
# of Implants 1
Type of Implants One-Piece
Attachment One-Piece
Bone Augmentation No
Augmentation Materials -
Guided Surgery No
Soft Tissue Grafting None
Abutment Type Customized
Prosthesis Type FDP

Esthetic Risk Assessment

Esthetic Risk Factors Low Medium High
Medical Status Healthy Compromised
Smoking Habit Non-smoker Light smoker (< 10 cigarettes per day) Heavy smoker (>= 10 cigarettes per day)
Patient's Esthetic Expectations Low Medium High
Lip Line No exposure of papillae Exposure of papillae Full exposure of mucosa margin
Periodontal Phenotype Low-scalloped, thick Medium-scalloped, medium-thick High-scalloped, thin
Shape of Tooth Crowns Rectangular Triangular
Infection at Implant Site None Chronic Acute
Bone Level at Adjacent Teeth <= 5 mm to contact point 5.5 to 6.5 mm to contact point > 7 mm to contact point
Prosthodontic Status of Neighboring Teeth Virgin Restored
Width of Edentulous Span 1 tooth (>= 7 mm) 1 tooth (< 7 mm) 2 teeth or more
Soft Tissue Anatomy Intact Defective
Bone Volume Horizontally and vertically sufficient Horizontally deficient Deficient vertically or deficient vertically AND horizontally
  • * General SAC assessment modifiers that are also part of the ERA. To avoid redundancy they are listed in this section even if no complete ERA has been made.

  • ** Not applicable to the ERA of immediate placement cases and replaced by "Socket Integrity" listed below under "Surgical SAC Classification". For all other placement types this value is a classification determinant and listed here even if no complete ERA has been made.

Surgical SAC classification

SAC Level Advanced
Defining Characteristics One missing tooth to be replaced by an implant-borne crown
Modality -
Placement Protocol Early or late implant placement
Tooth Site -
Socket Morphology -
Socket Integrity -
Bone Volume Horizontally and vertically sufficient
Anatomic Risk Low
Esthetic Risk Low
Complexity Moderate
Risk of Complications Moderate

Prosthodontic SAC classification

SAC Level Advanced
Defining Characteristics -
Loading Protocol Conventional or early
Retention Cemented, with prosthesis margin < 3mm submucosal Cemented, with prosthesis margin < 3mm submucosal
Maxillomandibular Relationship Angle Class II Div 1 and 2
Mesio-Distal Space Symmetry +/- 1 mm of contra-lateral tooth
Inter-Arch Distance -
Bruxism -
Esthetic Risk Low
Provisional Implant-Supported Prosthesis Prosthodontic margin < 3 mm apical to mucosal margin Prosthodontic margin < 3 mm apical to mucosal margin
Interim Prosthesis during Healing Fixed Fixed
Occlusion/Articulation -
Occlusal Scheme/Issues -

Surgical SAC Modifiers

Periodontal Status Healthy

Prosthodontic SAC Modifiers

Soft Tissue Contour and Volume Slightly compromised

General SAC Modifiers

Oral Hygiene and Compliance Good
Access Adequate
Craniofacial/Skeletal Growth Completed
Publication date: Jan 11, 2015 Last review date: Apr 10, 2023 Next review date: Apr 10, 2026

ITI QR code Mvc

Share this page

Download the QR code with a link to this page and use it in your presentations or share it on social media.

Download QR code
QR code