Replacement of an Upper Left Central Incisor with a Regular Neck Implant, Restored with a Ceramo-Metal Crown, Transocclusally Screw-Retained - Clinical Case Report - Home
Clinical Case Report
Replacement of an Upper Left Central Incisor with a Regular Neck Implant, Restored with a Ceramo-Metal Crown, Transocclusally Screw-Retained
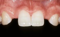
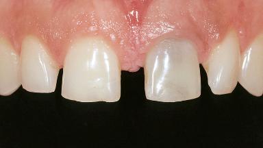
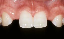
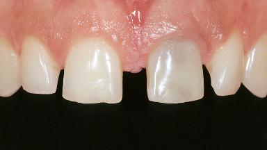
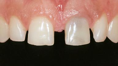
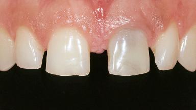
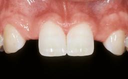
The 23-old-male patient, a light smoker (less than five cigarettes per day), presented with a non-vital and discolored tooth 21. The patient was in good general health, and his medical history was without significant findings. He suffered from pain originating from mobile tooth 21. Because of the discoloration of tooth 21, the patient asked to have his esthetic appearance improved.Tooth 21 had been endodontically treated after trauma,and an apicoectomy had been performed. At full smile, the patient had a medium smile line, exposing the full teeth and part of the gingiva. The patient’s gingival biotype was medium thick, with a sufficiently thick band of attached keratinized gingiva. The tissue was free of recessions or other defects.
- Surgical SAC classification
- Advanced
- Prosthodontic SAC classification
- Advanced
- Source
- Treatment Guide 1
- Purchase price
- 10 Academy Coins
- CPD/CME
- 0.15 hours
Share this page
Download the QR code with a link to this page and use it in your presentations or share it on social media.
Download QR code