Case

0.0The average rating is 0 stars out of 5.

Rehabilitating an Edentulous Maxilla with a Fixed Dental Prosthesis Following Provisional Immediate Loading

Alejandro Lanis, Orlando Raul Alvarez Del Canto

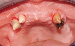
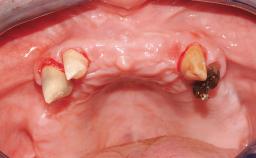
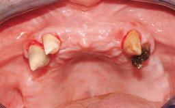
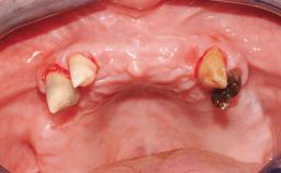
This case features the flapless computer-guided placement of 7 bone-level implants, distributed to provide maximal support for the prosthetic framework. A rigid one-piece metallic framework was utilized as an interim restoration to reduce the risk of fracture associated with this prosthetic design. As part of the clinical examination, the SAC Assessment Tool was used, resulting in a surgical and restorative risk classification as “complex”.

Surgical SAC classification
Complex
Prosthodontic SAC classification
Complex
Purchase price
10 Academy Coins
CPD/CME
0.25 hours

General information

Case Type Edentulous Maxilla
Jaw Maxilla
Area Full-Arch
# of Teeth -
# of Implants 7
Type of Implants Two-Piece
Attachment Two-Piece
Bone Augmentation No
Augmentation Materials -
Guided Surgery Yes
Soft Tissue Grafting -
Abutment Type Standard
Prosthesis Type FDP

Esthetic Risk Assessment

Esthetic Risk Factors Low Medium High
Medical Status Healthy Compromised
Smoking Habit Non-smoker Light smoker (< 10 cigarettes per day) Heavy smoker (>= 10 cigarettes per day)
Patient's Esthetic Expectations Low Medium High
Lip Line No exposure of papillae Exposure of papillae Full exposure of mucosa margin
Periodontal Phenotype Low-scalloped, thick Medium-scalloped, medium-thick High-scalloped, thin
Shape of Tooth Crowns Rectangular Triangular
Infection at Implant Site None Chronic Acute
Bone Level at Adjacent Teeth <= 5 mm to contact point 5.5 to 6.5 mm to contact point > 7 mm to contact point
Prosthodontic Status of Neighboring Teeth Virgin Restored
Width of Edentulous Span 1 tooth (>= 7 mm) 1 tooth (< 7 mm) 2 teeth or more
Soft Tissue Anatomy Intact Defective
Bone Volume Horizontally and vertically sufficient Horizontally deficient Deficient vertically or deficient vertically AND horizontally
  • * General SAC assessment modifiers that are also part of the ERA. To avoid redundancy they are listed in this section even if no complete ERA has been made.

  • ** Not applicable to the ERA of immediate placement cases and replaced by "Socket Integrity" listed below under "Surgical SAC Classification". For all other placement types this value is a classification determinant and listed here even if no complete ERA has been made.

Surgical SAC classification

SAC Level Complex
Defining Characteristics Fully edentulous upper jaw to be rehabilitated with four or more implants
Modality 6+ implants with immediate loading
Placement Protocol -
Tooth Site Tooth site
Socket Morphology Socket morphology
Socket Integrity Socket integrity
Bone Volume Horizontally and vertically sufficient
Anatomic Risk Low
Esthetic Risk High
Complexity High
Risk of Complications High

Prosthodontic SAC classification

SAC Level Complex
Defining Characteristics Fully edentulous upper jaw to be rehabilitated with an implant-borne fixed dental prosthesis
Loading Protocol Immediate
Retention -
Maxillomandibular Relationship -
Mesio-Distal Space -
Inter-Arch Distance -
Bruxism -
Esthetic Risk High
Provisional Implant-Supported Prosthesis -
Interim Prosthesis during Healing -
Occlusion/Articulation -
Occlusal Scheme/Issues -

Surgical SAC Modifiers

Periodontal Status Healthy

Prosthodontic SAC Modifiers

Soft Tissue Contour and Volume Slightly compromised

General SAC Modifiers

Oral Hygiene and Compliance Insufficient
Access Adequate
Craniofacial/Skeletal Growth Completed
Publication date: Jan 27, 2022 Last review date: Jan 20, 2024 Next review date: Jan 20, 2027

ITI QR code Mvc

Share this page

Download the QR code with a link to this page and use it in your presentations or share it on social media.

Download QR code
QR code