Recurrent Peri-implantitis Leading to Implant Removal - Clinical Case Report - Home
Clinical Case Report
Recurrent Peri-implantitis Leading to Implant Removal
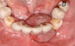
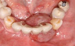
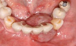
A 65-year-old female patient was referred to the periodontist for assessment and management of implant site 12. Implant 12 had been placed ten years previously and restored with a cemented single crown. The patient was a non-smoker in good general and periodontal health. On examination there were 7 mm probing depths at implant 12 with suppuration and bleeding on probing. The patient was aware of the presence of pus but had no discomfort. A periapical radiograph showed marginal bone loss to approximately the third thread of the implant. Previous radiographs obtained from the referring clinician indicated that there had been progressive bone loss since the implant was restored. A diagnosis of periimplantitis was made.
- Surgical SAC classification
- Advanced
- Prosthodontic SAC classification
- Straightforward
- Source
- Treatment Guide 8
- Purchase price
- 10 Academy Coins
- CPD/CME
- 0.25 hours
Share this page
Download the QR code with a link to this page and use it in your presentations or share it on social media.
Download QR code