Peri-implantitis Modified by Submucosal Excess of Cement: Regenerative Peri-implantitis Therapy and Six-year Follow-up - Clinical Case Report - Home
Clinical Case Report
Peri-implantitis Modified by Submucosal Excess of Cement: Regenerative Peri-implantitis Therapy and Six-year Follow-up
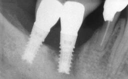
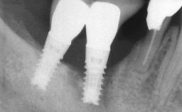
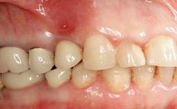
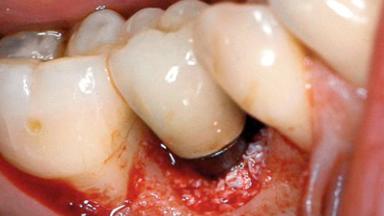
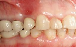
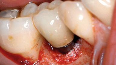
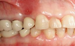
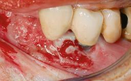
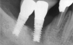
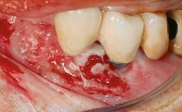
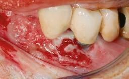
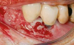
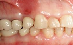
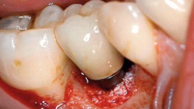
A 30-year-old female patient was referred to the Department of Periodontology of the University of Bern, Switzerland, by a dentist in private practice. Tooth 45 had been congenitally missing and had been replaced with a titanium implant three years prior to the first visit at the Department of Periodontology. The tissue level implant had a diameter of 4.1 mm, a length of 12 mm, and a sandblasted and acid-etched (SLA) surface (Straumann® Dental Implant System; Institut Straumann AG, Basel, Switzerland). The metal-ceramic crown on implant 45 had been cemented permanently. Implant 45 had been diagnosed with peri-implantitis by the referring dentist in the course of regular supportive care.
- Surgical SAC classification
- Straightforward
- Prosthodontic SAC classification
- Straightforward
- Source
- Treatment Guide 8
- Purchase price
- 10 Academy Coins
- CPD/CME
- 0.25 hours
Share this page
Download the QR code with a link to this page and use it in your presentations or share it on social media.
Download QR code