Immediate Implant Placement and Restoration of a Maxillary Left Central Incisor with a Provisional Crown - Clinical Case Report - Home
Case
Clinical Case Report
Immediate Implant Placement and Restoration of a Maxillary Left Central Incisor with a Provisional Crown
Leon Pariente and Karim Dada outline the Immediate Implant Placement and Restoration of a Maxillary Left Central Incisor with a Provisional Crown, demonstrating how the hard and soft tissue architecture can be maintained with a Type 1A treatment protocol and a fixed provisional, providing an esthetic and comfortable immediate solution.
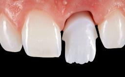
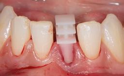
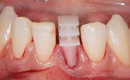
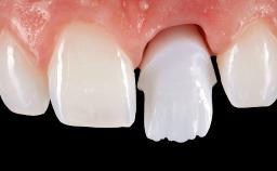
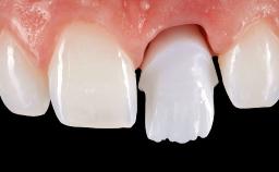
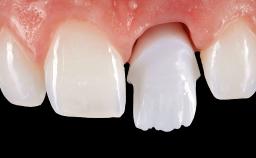
A 34-year-old female patient with high esthetic expectations, a non-smoker with no relevant medical history (ASA class 1), was referred to the practice for replacement of her failing maxillary left central incisor (tooth 21), which exhibited a vertical root fracture as diagnosed by the referring endodontist under the microscope. This case illustrates a type 1A treatment protocol (Gallucci and coworkers 2018) complete with diagnosis, treatment decisions, and clinical and laboratory steps.
- Surgical classification
 - Complex
 - Prosthodontic classification
 - Advanced
 
- Source
 - Treatment Guide 14
 - Purchase price
 - 10 Academy Coins
 - CPD/CME
 - 0.25 hours
 
Recommended content
General Risk Assessment
| Patient-related Factors | |
|---|---|
| Smoking Habit | None | 
| Oral hygiene | Good | 
| Compliance | Good | 
| Patient's Expectations | High but achievable | 
| Patient-medical Factors | |
| Medical Status | Healthy, uneventful healing | 
| Medical Fitness | Healthy, able to undergo planned anesthesia and surgical procedure (ASA I) | 
| Medications | No medications that would negatively affect the surgical procedure and outcomes. | 
| Radiation Treatment | None | 
| Growth Status | Complete | 
| Site-related Factors | |
| Periodontal Status | No history of periodontal disease, or any active periodontal disease. | 
| Access | Adequate | 
| Pathology near the implant site | None | 
| Previous surgeries in planned implant site | No previous procedures. | 
Surgical Classification
| Surgical Complexity | |
|---|---|
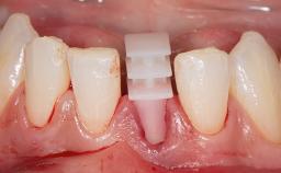
| Timing of placement | Immediate Placement (extraction sockets) (Type I) | 
| Simultaneous or Staged grafting procedures | Implant placement with simultaneous hard and soft tissue procedures | 
| Anatomy | |
| Bone Volume - Horizontal | Adequate | 
| Bone Volume - Vertical | Adequate | 
| Keratinized Tissue | Sufficient (>4 mm) | 
| Soft Tissue Quality | No scars or inflammation | 
| Proximity to vital anatomic structures | Minimal risk of involvement | 
| Adjacent Teeth | |
| Papilla | Complete | 
| Recession | Absent | 
| Interproximal attachment | At CEJ | 
| Extractions | |
| Radicular morphology | Uniradicular | 
| Available apical bone to achieve primary stability | Sufficient height ( ≥ 4 mm) and width (> 2 mm around apex of planned implant) | 
| Socket walls | Intact | 
| Thickness of buccal wall | 2mm or greater | 
| Anticipated residual defect after implant placement | 2 mm or less | 
Prosthodontic Classification
| Complicating Factors | |
|---|---|
| Biological | Screw-retained restorations with appropriate contours | 
| Mechanical/Technical | Absence of contributing factors | 
| Prosthesis Factors | |
| Prosthetic volume | Adequate. Space available for ideal anatomy of the restoration | 
| Inter-occlusal space | Adequate. Capable to create an anatomically & functionally correct planned restoration | 
| Volume and characteristics of the edentulous ridge (fixed) | Adequate. No adjunctive therapy or prosthetic soft tissue replacement will be necessary | 
| Esthetic Factors | |
| Gingival display at full smile | Medium | 
| Shape of tooth crowns | Rectangular | 
| Restorative status of neighboring teeth | Virgin | 
| Gingival Phenotype | Low-scalloped, thick | 
| Bone level on adjacent teeth | 5.5 to 6.5 mm to contact point | 
| Occlusal Factors | |
| Occlusal scheme | User-defined occlusal scheme achievable | 
| Involvement in occlusion | Minimal or no involvement | 
| Occlusal parafunction | Absent | 
| Complexity | |
| Loading Protocol | Immediate | 
| Implant-supported provisional restoration | Required, elevated esthetic and/or functional demands | 
| Timing of placement | Immediate Placement (extraction sockets) (Type I) | 
Esthetic Risk Assessment
| Esthetic Risk Assessment | |
|---|---|
| Medical Status | Healthy, uneventful healing | 
| Smoking Habit | None | 
| Gingival display at full smile | Medium | 
| Width of edentulous span | 1 tooth (≥ 7mm, standard diameter implant) 1 Tooth (≥ 6mm, narrow diameter implant) | 
| Shape of tooth crowns | Rectangular | 
| Restorative status of neighboring teeth | Virgin | 
| Gingival Phenotype | Low-scalloped, thick | 
| Infection at implant site | None | 
| Bone level on adjacent teeth | 5.5 to 6.5 mm to contact point | 
| Thickness of buccal wall | 2mm or greater | 
| Patient's Expectations | High but achievable | 
- 3 - Proficient to Expert
 - Clinical Case
 - Treatment Guide 14
 
ITI QR code Mvc
Share this page
Download the QR code with a link to this page and use it in your presentations or share it on social media.
Download QR code