Guided Immediate Placement of a Ceramic Implant in a Maxillary Right Second Premolar and Immediate Restoration with a CAD/CAM-Fabricated Provisional Crown - Clinical Case Report - Home
Clinical Case Report
Guided Immediate Placement of a Ceramic Implant in a Maxillary Right Second Premolar and Immediate Restoration with a CAD/CAM-Fabricated Provisional Crown
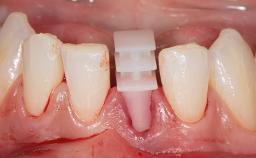
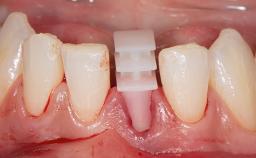
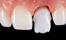
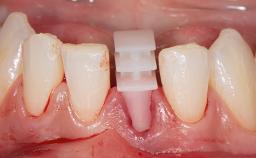
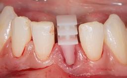
With this case, André Chen highlights the importance of the correct 3D positioning of monotype ceramic implants placed immediately in a single-tooth situation. One-piece implants have biological advantages but placing them in the correct prosthodontic position can be a challenge.
Every tooth extraction initiates a cascade of continuous events that lead to hard and soft tissue volumetric and linear changes (Araújo and coworkers 2019; Grunder 2011).
In recent years, implant dentistry has aimed to understand the biology of alveolar socket/bone remodeling in order to minimize the impact on linear and volumetric parameters, with lower morbidity and fewer esthetic problems (Atieh and coworkers 2015).
- Surgical classification
- Complex
- Prosthodontic classification
- Complex
- Source
- Treatment Guide 14
- Purchase price
- 10 Academy Coins
- CPD/CME
- 0.25 hours
Share this page
Download the QR code with a link to this page and use it in your presentations or share it on social media.
Download QR code