Early Placement of Implants in a Mandibular Left Second Premolar and Second Molar Site - Clinical Case Report - Home
Clinical Case Report
Early Placement of Implants in a Mandibular Left Second Premolar and Second Molar Site
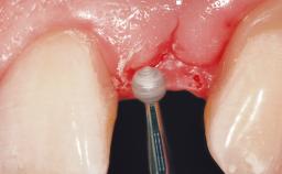
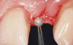
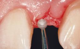
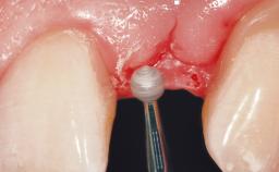
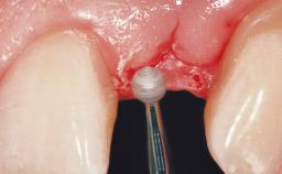
A 56-year-old female patient was referred to the clinic for the functional rehabilitation of her left mandible. The healthy, non-smoking patient presented with loss of retention of crown 35 due to secondary root caries. In addition, she had a single-tooth gap at site 36 with clearly discernible facial atrophy. The panoramic radiograph exhibited crowned teeth 35 and 37, both with a root canal filling. Tooth 37 showed a radiolucent area on the mesial aspect. Tooth 38 did not show any signs of pathology. Based on the clinical and radiographic findings, it was decided to remove root 35 and tooth 37, creating an extended edentulous space with three missing teeth. As requested by the patient, tooth 38 was left in place. The removal of both teeth was done without major flap elevation. The wound margins at site 35 had to be slightly elevated to remove the root remnant.
- Surgical SAC classification
- Advanced
- Prosthodontic SAC classification
- Straightforward
- Source
- Treatment Guide 3
- Purchase price
- 10 Academy Coins
- CPD/CME
- 0.25 hours
Share this page
Download the QR code with a link to this page and use it in your presentations or share it on social media.
Download QR code