
Bilateral SFE with Transcrestal and Lateral Window Technique using Various Composite Grafts - Clinical Case Report - Home
Clinical Case Report
Bilateral SFE with Transcrestal and Lateral Window Technique using Various Composite Grafts
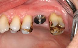
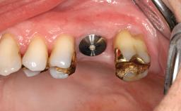
A 53-year old woman, a non-smoker, presented with failing crown and bridge restorations in both maxillary posterior segments. In addition, she was dissatisfied with the esthetics of her mandibular anterior sextant. She had recently lost the distal abutment (tooth 16) of a three-unit fixed partial denture (FPD) to dental caries, whereupon the bridge structure was sectioned distal to site 15. The patient’s medical history was noncontributory. The following periodontal risk factors were identified and discussed with the patient: Familial history of periodontal disease, poor/erratic compliance with preventive care.

- Surgical SAC classification
- Complex
- Prosthodontic SAC classification
- Straightforward
- Source
- Treatment Guide 5
- Purchase price
- 10 Academy Coins
- CPD/CME
- 0.25 hours
Share this page
Download the QR code with a link to this page and use it in your presentations or share it on social media.
Download QR code